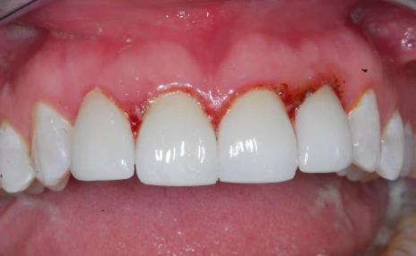
Same-day dental crowns offer a fast, convenient and effective solution for restoring damaged or weakened teeth. If you have a tooth that has been chipped, cracked or severely decayed, a crown may be necessary to protect and restore its function. At our office, we are proud to provide same-day crown services using state-of-the-art technology that allows you to receive a fully customized, permanent crown in just one visit.
Restore Your Smile With Same-Day Crowns
Traditional crowns often require two separate appointments spaced over several weeks to complete. However, with same-day crowns, the entire process is completed in a single visit. After examining your tooth and preparing it by removing decay or damaged areas, our dentist and team use digital scanning technology to capture precise 3D images of your mouth. These scans eliminate the need for messy impressions and help us design your crown with remarkable accuracy.
The digital design is sent to an in-office milling machine, which fabricates the crown from a high-quality ceramic material. Once complete, we will bond the crown securely to your tooth, restoring its appearance, strength and functionality immediately.

The Dental Crown Process
The process of receiving a dental crown involves preparing the affected tooth by removing any decay and shaping it to fit the crown securely. Impressions of your tooth are then taken to create a custom crown that perfectly matches the color, shape and size of your surrounding teeth. Once crafted, the crown is fitted over your tooth and cemented in place, providing a seamless and strong restoration that can last for many years with proper care.

Benefits of Same-Day Dental Crowns
Choosing a same-day crown provides many advantages for your oral health and convenience. These benefits include:
- No need for a temporary crown or a second appointment
- Digital impressions for improved comfort and accuracy
- Durable, natural-looking ceramic that blends seamlessly with your smile
- Preservation of more of your natural tooth structure
- Faster treatment time with long-lasting results
Whether you have a damaged tooth or have recently undergone a root canal, a same-day crown can provide the protection and strength your tooth needs without the wait.
Personalized Care in One Visit
Dr. Anil Dwivedi is dedicated to delivering high-quality, personalized dental care that fits your schedule. With same-day crowns, you can walk out of our office with a fully restored smile in just a few hours. If you are experiencing tooth discomfort or have been told you may need a crown, we are here to help. Contact our office today at 703-734-1080 to schedule a consultation with our skilled dentist and learn more about how same-day dental crowns in Vienna, Virginia, can benefit your smile and overall oral health.
