Full-mouth restoration is a comprehensive treatment approach designed to restore the health, function and aesthetics of your smile. If you have multiple dental concerns, such as missing teeth, decay or bite misalignment, full-mouth restoration may be the ideal solution. This customized treatment plan combines various restorative and cosmetic dental procedures to rebuild your smile and improve your overall oral health.

What Treatments Are Included in Full-Mouth Restoration?
Because every patient’s dental needs are unique, full-mouth restoration may involve a combination of treatments, including:
- Dental Crowns – Strengthen and protect damaged teeth.
- Dental Bridges – Replace one or more missing teeth in a row.
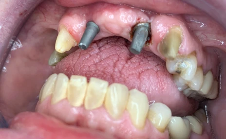
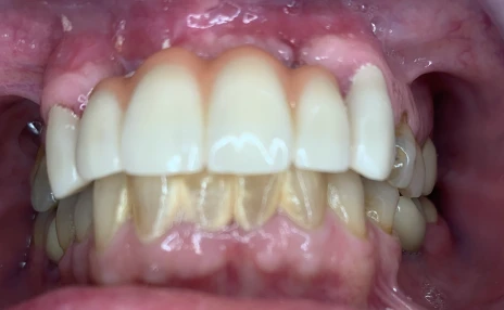
- Dental Implants – Provide a permanent solution for missing teeth.
- Dentures – Restore function and aesthetics for multiple missing teeth.
- Inlays and Onlays – Repair moderate tooth damage.
- Tooth-Colored Fillings– Treat cavities with a natural-looking restoration.
- Root Canal Therapy– Save infected or severely decayed teeth.
- Periodontal Treatment – Address gum disease to improve oral health.
- Tooth Extractions – Remove severely damaged or non-restorable teeth.
Each treatment is carefully planned to create a functional, long-lasting smile that looks and feels natural.
Who Needs Full-Mouth Restoration?
Full-mouth restoration may be recommended for individuals experiencing:
- Severe Tooth Decay – When multiple teeth are damaged by decay, restoration is necessary to preserve oral function.
- Tooth Loss – Missing teeth can affect speech, chewing and jawbone health.
- Gum Disease – Advanced periodontal disease can lead to tooth loss and requires comprehensive care.
- Bite Misalignment – An improper bite can cause discomfort, uneven wear and TMJ issues.
- Dental Trauma – Accidents or injuries that result in broken, chipped or knocked-out teeth may require full-mouth restoration.

The Full-Mouth Restoration Process
The process begins with a thorough consultation, where our dentist will evaluate your oral health, discusses your concerns and creates a personalized treatment plan. Advanced imaging and diagnostic tools help guide treatment recommendations. Depending on the complexity of your case, full-mouth restoration may be completed over multiple appointments to ensure optimal results. Give us a call today at 703-734-1080 to make an appointment with Dr. Anil Dwivedi and learn more about full-mouth restoration in Vienna, Virginia!
Frequently Asked Questions About Full-Mouth Restoration
What is the difference between full-mouth restoration and a smile makeover?
How long does a full-mouth restoration take?
The timeline varies depending on the treatments involved. Some procedures, like fillings or crowns, can be completed in a few visits, while dental implants or orthodontic corrections may take months. Our dentist will create a customized plan outlining each step and estimated completion time based on your needs.
Is full-mouth restoration painful?
Most procedures are performed with local anesthesia, ensuring minimal discomfort. For extensive treatments, sedation options may be available. Some soreness is expected after major procedures, but pain can be managed with prescribed or over-the-counter medications. Our dentist will provide post-treatment care instructions to promote a smooth recovery.
Will my dental insurance cover full-mouth restoration?
Coverage depends on your insurance plan and the procedures involved. Restorative treatments like crowns, implants or gum therapy may be partially covered, while cosmetic enhancements may not. It is best to consult your provider or your dental office’s financial coordinator to explore payment options and potential coverage.
How do I maintain my results after full-mouth restoration?
Good oral hygiene, including brushing twice daily and flossing, is essential. Regular dental checkups help detect potential issues early. Avoiding hard foods, smoking and excessive sugar intake can also prolong the lifespan of restorations. Our dentist may also recommend a night guard if you grind your teeth at night.
What areas do you serve?
Dr. Dwivedi offers full-mouth restoration in Vienna, Virginia, and to patients in the neighboring areas. Contact us today to learn how this comprehensive restorative treatment can give you back your smile and schedule your consultation with our experienced dentist!